Background on Microbial Contamination in Water Damaged Buildings
Since relatively few microorganisms can be cultured, molecular techniques including genomics,
proteomics, and metabolomics are increasingly important tools for assessing the composition and
activities of microbial communities. (National Academies of Science, Engineering and Medicine Ref 60).
At this stage it’s important that the reader understands the importance or the impact of bacteria in a water damaged building- Bacterial contamination in water-damaged buildings has been identified as a potential cause of health problems, including infection and respiratory conditions like asthma (Ref 61).
With the advent of Gene Expression testing Dr’s Ryan and Shoemaker have been able to show in CIRS (chronic inflammatory response) the focus has been around mould but based on patterns of gene activation it’s not moulds as a microbe which are making people sick its actually bacteria, mainly from the Actinobacteria group. So, any testing in a water damaged building has to encompass bacteria, otherwise you may be missing the real level of contamination.
So CIRS will have been caused by either a ribotoxin or a ribosomal inactivated protein. In water damaged buildings the organisms which develop, produce ribosomal toxins. Just as importantly is understanding that bacteria produce VOCs as a communication or defence mechanism and part of those VOCs, include pheromones which will attract other species hence an exposural increase in bacterial ribotoxins and to a lesser extent, fungal ribotoxins, along with chemicals produced by these organisms directly or indirectly. Both bacteria and mould(fungi) produce ribosomal toxins.
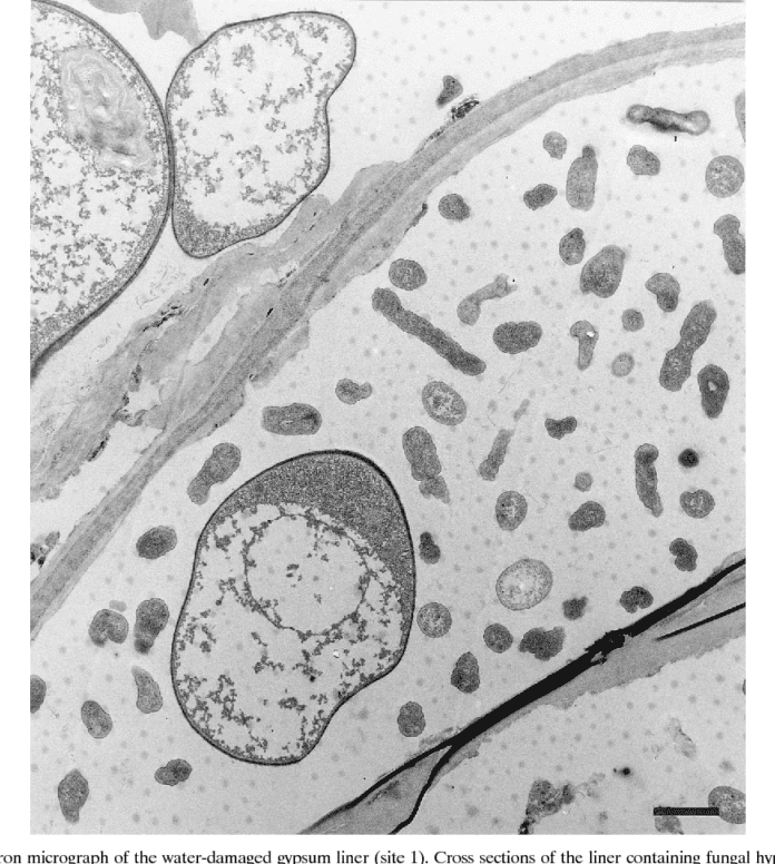
So far, the Actinobacteria exposure equates to 42percent of those affected by water damage buildings, 28% are affected by the endotoxins from the water damaged building’s gram-negative bacteria and 7 to 10% of those affected by Mycotoxins from Mould. Previous Testing has shown this contaminated unit had an Actino score of 25 as shown below, so it’s completely understandable why we went looking for hidden bacterial contamination, further analysis showed high levels as shown in this report. The NGS reported 24 human pathogens in the bacteria in this unit.

Bacterial contamination in water-damaged buildings has been identified as a potential cause of health problems, including infection and respiratory conditions like asthma. The research is part of the U.S. Department of Housing and Urban Development’s investment in research to protect the health of children from hazards in the home.
Co-authors of this study include Stephen Vesper, PhD, of the U.S. Environmental Protection Agency (EPA); and Tiina Reponen, PhD, Sergey Grinshpun, PhD, and Sudhir Kumar, PhD of the Department of Environmental Health.














